kiến thức nha khoa
-
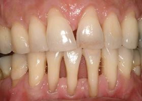
Hình ảnh viêm nướu răng: 5 Dấu hiệu cảnh báo cần biết | Bs Cường
Đăng lúc: 10-10-2025Xem ngay những hình ảnh viêm nướu răng qua từng giai đoạn do Bác sĩ Cường phân tích. Hiểu rõ nguyên nhân, dấu hiệu và cách điều trị hiệu quả để bảo vệ nụ...
-
Nơi Niềng Răng Uy Tín TPHCM [Chọn Đúng & Giá Hời] | Dr. Cuong
Đăng lúc: 04-08-2025Đang tìm kiếm một nơi niềng răng uy tín ở TPHCM nhưng lại bối rối trước hàng trăm lựa chọn? Bác sĩ Cường sẽ chỉ ra 7 tiêu chí cốt lõi giúp bạn chọn đúng...
-
Khắc Phục Răng Nhạy Cảm: [3 Bước] Hết Ê Buốt Ngay | Dr. Cuong
Đăng lúc: 04-08-2025Răng nhạy cảm ê buốt khi ăn đồ nóng, lạnh hay chua ngọt? Tìm hiểu ngay nguyên nhân, cách chữa răng nhạy cảm dứt điểm tại nhà và nha khoa được Bác sĩ Cường...
-
Bí Mật Tiên Răng: Hướng Dẫn Cha Mẹ Chuẩn Bị | Dr. Cuong
Đăng lúc: 02-08-2025Bạn đang bối rối không biết giải thích thế nào với con về chiếc răng lung lay? Hay tìm kiếm một hướng dẫn y khoa đáng tin cậy về quá trình thay răng của trẻ?...
-
Thay răng ở trẻ: 5 Bí quyết cho nụ cười khỏe mạnh | Dr. Cuong
Đăng lúc: 02-08-2025Quá trình thay răng ở trẻ có khiến bạn lo lắng? Bác sĩ Cường sẽ giải đáp mọi thắc mắc về độ tuổi, thứ tự và cách chăm sóc đúng chuẩn y khoa. Đọc ng...
-
Tẩy Trắng Răng Nha Khoa Giá Bao Nhiêu? [Bí Mật Chi Phí] | Dr. Cuong
Đăng lúc: 02-08-2025Khám phá bảng giá tẩy trắng răng nha khoa chi tiết nhất, các yếu tố ảnh hưởng chi phí và lời khuyên từ chuyên gia để sở hữu nụ cười trắng sáng, an toàn....
-
5 Tác hại khôn lường khi nhổ răng số 4 bạn phải biết | Dr. Cuong
Đăng lúc: 02-08-2025Lo lắng về các tác hại của việc nhổ răng số 4? Liệu có nguy hiểm không và có thực sự cần thiết? Bác sĩ Cường sẽ giải đáp chi tiết về nguy cơ, lợi ích...
-
Răng vẩu nặng: Khám phá bí quyết điều trị triệt để | Dr. Cuong
Đăng lúc: 02-08-2025Bạn đang đối mặt với tình trạng răng vẩu nặng, gây mất thẩm mỹ và ảnh hưởng sức khỏe? Bác sĩ Cường sẽ phân tích chi tiết nguyên nhân và các phương pháp...
-
Ăn Kẹo Sâu Răng: 5 Cách Ngăn Ngừa Hiệu Quả [Bí Kíp] | Dr. Cuong
Đăng lúc: 02-08-2025Ăn kẹo bị sâu răng có phải là nỗi lo thường trực của bạn, đặc biệt là khi trong nhà có trẻ nhỏ? Với kinh nghiệm của một Bác sĩ Răng Hàm Mặt, tôi hiểu...
-
Xỉa Răng Đúng Cách: 3 Sai Lầm Cần Tránh Ngay! | Dr. Cuong
Đăng lúc: 02-08-2025Bạn có thói quen xỉa răng? Bác sĩ Cường sẽ phân tích toàn diện tác hại khôn lường và hướng dẫn các giải pháp thay thế khoa học để bảo vệ nướu, ngăn ngừa...
-
Sâu răng có tự khỏi không? Đừng tin điều này! [Sự thật] | Dr. Cuong
Đăng lúc: 02-08-2025Sâu răng có tự khỏi không? Bác sĩ Cường giải đáp chi tiết về khả năng phục hồi răng sâu ở từng giai đoạn và khi nào cần can thiệp y khoa. Đọc ngay!
-
Bắt sâu răng qua mắt: [Thật] Cách Trị Hiệu Quả | Dr. Cuong
Đăng lúc: 02-08-2025Bác sĩ Cường giải mã thực hư chuyện bắt sâu răng qua mắt, qua má. Hiểu rõ sự thật khoa học, nhận biết nguy hiểm và tìm giải pháp điều trị sâu răng an toàn,...
- Trang 1 of 3
- 1
- 2
- 3
- Trang tiếp ›
- Trang cuối ››
